朝から雨が降っているけど
ホームコースは曇りの予報で出発。
ギリギリまで降ってたけど
止んでドライで滑れた。
しかし1時間もしないでウエットになってしまった。
ここまで来てもったいないから
室内パークへ移動。
考えることは皆同じで
先のパークに居た人も集まってきた。
1週間休みなしで睡眠時間も少なく
昨日滑ってさらに疲れてる所で
朝から動きが怪しと感じていた。
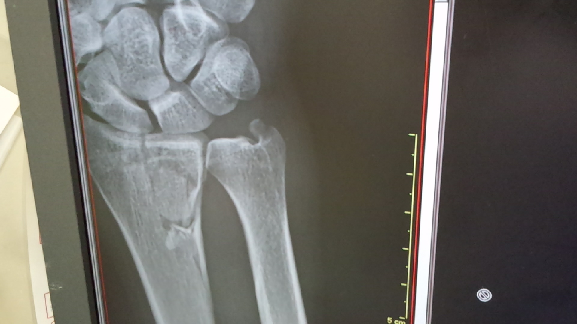
足がデッキからズレルと感じた時はダメ。
移動して間もなく腕に硬いものを巻かれることになった。
こうなるリスクと隣り合わせと
目の前で見て感じて
やるやらないは
自分で考えればいい。
こうなるために
誰も危ないスポーツをやってるわけじゃないのは理解してる。
練習時間を無駄にしてしまった。


